Ông R. thường xuyên ho nhẹ nhưng thời gian kéo dài nên đi kiểm tra sức khỏe. Kết quả, bác sĩ phát hiện ông mắc 2 loại ung thư cùng lúc, đã ở giai đoạn muộn.
Đồng mắc ung thư phổi và đại tràng
Ông B.H.R (70 tuổi, cao 1,5m, nặng 58kg), mắc đái tháo đường type 2 đang điều trị ổn định. Ông đến Bệnh viện Bạch Mai (Hà Nội) khám vì triệu chứng ho nhẹ nhưng kéo dài.
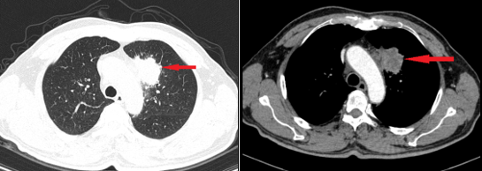
Qua thăm khám và chụp CT lồng ngực, bác sĩ phát hiện nam bệnh nhân có khối u ở thùy trên phổi trái, được xác định là ung thư biểu mô tuyến phổi giai đoạn muộn. Nội soi đại tràng tiếp tục phát hiện một khối loét, kết quả sinh thiết cho thấy ung thư biểu mô tuyến đại tràng giai đoạn sớm, thuộc dạng kém biệt hóa (tế bào ung thư phát triển nhanh, khó kiểm soát). Các xét nghiệm CT ổ bụng, MRI sọ não và siêu âm hạch cổ chưa ghi nhận di căn.
Theo Phó giáo sư, bác sĩ Phạm Cẩm Phương, Giám đốc Trung tâm Y học hạt nhân và Ung bướu (Bệnh viện Bạch Mai), trường hợp đồng mắc hai ung thư nguyên phát này rất hiếm, chỉ chiếm 0,6% tổng số ca ung thư. Hai khối u có đặc điểm mô bệnh học khác nhau, không liên quan di căn, khiến việc điều trị phức tạp.

Hiện chưa có phác đồ chuẩn cho trường hợp này, nhưng bệnh nhân sẽ được ưu tiên hóa trị và xạ trị cho ung thư phổi do mức độ ác tính cao, sau đó cân nhắc phẫu thuật ung thư đại tràng kèm điều trị bổ trợ.
Theo bác sĩ Phương, trường hợp của ông R. cho thấy nguy cơ bỏ sót ung thư nếu chỉ tập trung vào triệu chứng chính (ho). Các chuyên gia khuyến cáo người lớn tuổi, đặc biệt những người có bệnh nền như đái tháo đường, cần tầm soát định kỳ và kiểm tra toàn diện, không chỉ giới hạn ở cơ quan có triệu chứng bất thường. Phát hiện sớm giúp tăng cơ hội điều trị thành công.
7 cách phòng ngừa ung thư hiệu quả
Theo Tổ chức Y tế Thế giới (WHO), 30-50% số ca ung thư có thể phòng ngừa thông qua lối sống lành mạnh và tầm soát sớm. Dưới đây là 7 lưu ý thiết thực:
Tránh thuốc lá: Thuốc lá gây ung thư phổi và liên quan đến hơn 15 loại ung thư khác. Cai thuốc là bước đầu tiên để bảo vệ sức khỏe.
Duy trì cân nặng hợp lý: Béo phì làm tăng nguy cơ ung thư vú, đại tràng, gan. Hãy giữ chỉ số BMI trong ngưỡng 18,5-24,9.
Ăn uống lành mạnh: Tăng cường rau xanh, trái cây, ngũ cốc nguyên hạt; hạn chế thịt đỏ, thực phẩm chế biến sẵn và rượu bia.
Tập thể dục đều đặn: 30 phút vận động mỗi ngày giúp giảm nguy cơ ung thư vú, đại tràng.
Hạn chế rượu bia: Rượu bia là yếu tố nguy cơ của ung thư gan, thực quản. Hãy uống có chừng mực hoặc kiêng hẳn.
Tầm soát định kỳ: Nội soi đại tràng, chụp nhũ ảnh, xét nghiệm máu giúp phát hiện ung thư trước khi có triệu chứng.
Quản lý bệnh mạn tính: Kiểm soát tốt đái tháo đường, viêm gan để giảm nguy cơ ung thư.
Ung thư không còn là án tử nếu được phát hiện sớm. Bác sĩ khuyến cáo người dân nên chủ động thăm khám định kỳ, đặc biệt khi có dấu hiệu bất thường như ho kéo dài, mệt mỏi, hoặc thay đổi thói quen tiêu hóa.
News
Lưu Đức Hoa: Hơn 10 năm không ăn một hạt cơm nào, giờ ai gặp cũng bất ngờ
Ở tuổi ngoài 60, Lưu Đức Hoa vẫn là Thiên vương Hongkong được đông đảo khán giả yêu mến. Lưu…
Mối thù suốt 10 năm của Phúc Nhĩ Khang (Châu Kiệt đóng) và Hạ Tử Vy
Những năm qua, mối bất hòa “ngầm” giữa Lâm Tâm Như và Châu Kiệt được truyền thông Hoa ngữ đề…
Nữ luật sư dám lên tiếng cho Vu Mông Lung gặp chuyện rồi…
Dù cảnh sát xác nhận Vu Mông Lung qua đời vì tai nạn do uống rượu, hàng loạt ‘thuyết âm…
Nhân chứng vụ Vu Mông Lung không xong rồi…
Điền Hải Dung phủ nhận từng gặp Vu Mông Lung, tuyên bố khởi kiện đạo diễn Trình Thanh Tùng và…
Tạm biệt nữ phó hiệu trưởng Đỗ Thị Hồng Huế
Hàng loạt đơn thư giáo viên ký đích danh tố cáo nữ phó hiệu trưởng Đỗ Thị Hồng Huế được…
Cả Phú Thọ rúng động trước 1 thông tin, cơ quan chức năng đang làm rõ!
Người dân phát hiện một cá thể nghi là hổ xuất hiện ở khu vực xóm Chiềng, xã Ngọc Sơn…
End of content
No more pages to load




